Langzeitstabilisierung
Im Laufe der kieferorthopädischen Behandlung werden Zähne im Kieferknochen bewegt und in die gewünschte Lage gebracht. Durch diese Zahnbewegung wird Gewebe gedehnt und Zug auf Fasern des Zahnhalteapparates ausgeübt. Die Zähne bleiben deswegen nach der abgeschlossenen kieferorthopädischen Behandlung leider nicht von alleine in ihrer neuen Position. Es braucht deshalb immer eine anschliessende Stabilisierungsphase.
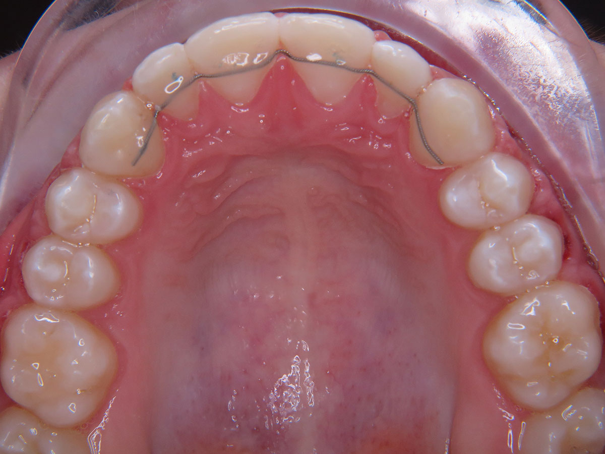
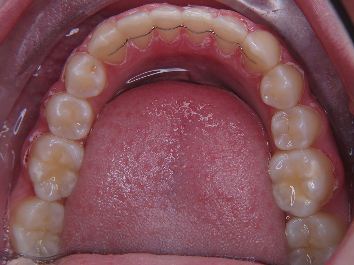
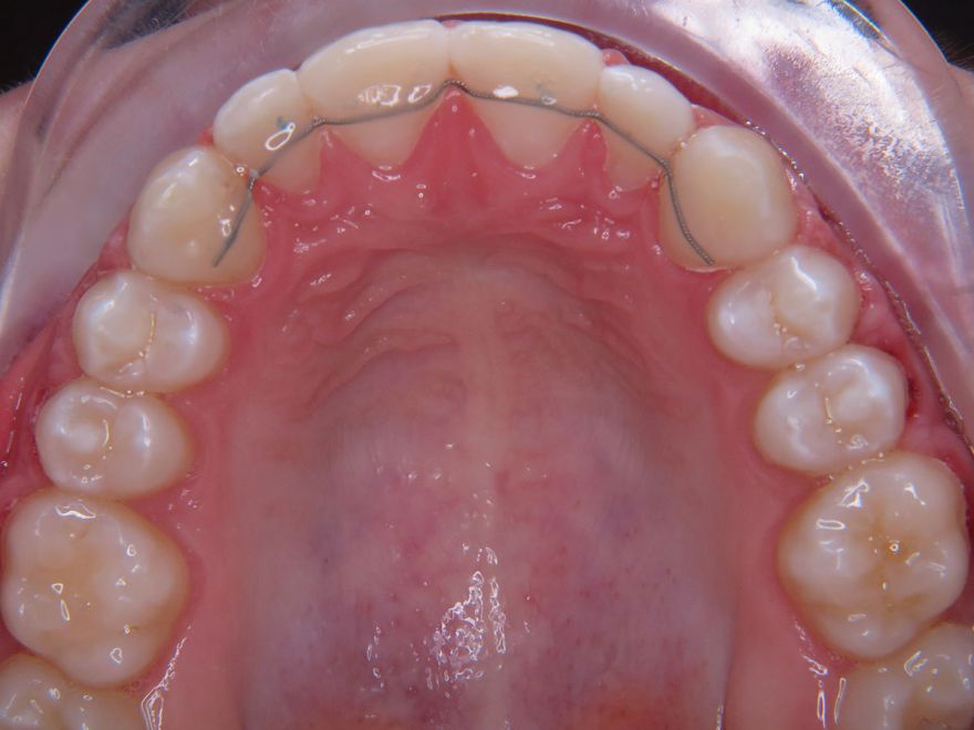
Um das Ergebnis dauerhaft zu sichern, einem Rückfall vorzubeugen und auch weiteren unerwünschten Zahnbewegungen entgegenzuwirken, kommen Stabilisierungsgeräte zur Anwendung. Diese gibt es als herausnehmbare Nachtspangen (Platten oder transparente Schienen) und in Form festsitzender Drähte, sogenannte „Retainer", die auf die Innenseite der Frontzähne geklebt werden.
Die Langzeitstabilisierung mit einem Retainer bietet den zuverlässigsten Schutz vor Rückfällen und alterstypischen Veränderungen der Frontzahnstellung. Im Laufe der Tragezeit können jedoch die Klebeverbindung am Bogen oder der Draht selbst sich lösen oder brechen. Um den Behandlungserfolg nicht zu gefährden, sollte in einem solchen Fall eine sofortige Reparatur oder Erneuerung des Retainers erfolgen.
Als Faustregel kann davon ausgegangen werden, dass die Stabilisierungsphase mindestens genauso lange andauern muss, wie die aktive Behandlungszeit. Häufig dauert sie jedoch länger an und in vielen Fällen wird eine lebenslange Retention empfohlen.
